PAUTAS PARA DAR A LOS PADRES DE NUESTROS ALUMNOS

Publicaciones
14 Comentarios
A inicio de curso suelo tener una pequeña charla de presentación con los padres de 3 años, y les suelo dar unas fotocopias explicativas para informarles sobre cómo favorecer el desarrollo del lenguaje y unas recomendaciones para evitar que sus hijos se chupen el dedo o dejen de usar el chupete.
Fuente de la imagen
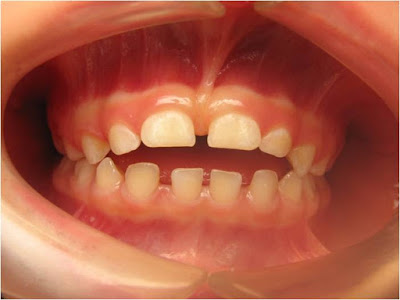
Hace dos años escolares, me encontré hasta 6 casos en el mismo aula, con malformaciones de este tipo por culpa de un uso excesivo del chupete, la mayoría incluso hasta entraban en el mismo aula con el chupete puesto, ya os podéis imaginar el habla de esos pequeños.
Fuente de la imagen
Así que si no funciona al cabo de unos meses, ya tenemos entrevistas personales con las familias, aunque en la mayoría de casos no conseguimos nuestro objetivo porque no tenemos la ayuda de las familias.
Os dejo aquí las pautas que entrego a inicio de curso, espero que os sirvan.

Comentarios…

14 Comentarios. Dejar nuevo

Deja una respuesta

Tu dirección de correo electrónico no será publicada. Los campos obligatorios están marcados con *

Rellena este campo
Rellena este campo
Por favor, introduce una dirección de correo electrónico válida.
Necesita estar de acuerdo con los términos para continuar

Te puede interesar…

Menú